DB Dentalní Péče – praktické tipy pro zdravé zuby a ústní hygienu

Víte, že každodenní péče o zuby může výrazně prodloužit jejich život? Nezáleží, jestli máte rovnátka, fazety nebo jen běžné zuby – základní pravidla jsou stejná. V tomto úvodu vám ukážeme, co dělat hned po probuzení a jak si vybrat správcovské nástroje.

Proč je každodenní hygiena klíčová

Čištění dvakrát denně, používání dentální nitě a ústní vody snižuje plak, který vede ke kazu i zubnímu kameni. Pokud máte poddásní zubní kámen, naše články o odstranění poddásního kamene vám ukážou, kdy navštívit zubaře a jak pomoci doma. Nepodceňujte i večerní čištění – během noci se bakterie množí nejrychleji.

Jak vybrat správné nástroje

Sonické kartáčky a ultrasonické čističe zajišťují hloubkovou čistotu, kterou klasické kartáčky nedokážou. Při výběru se zaměřte na výměnu hlavice každé 3‑4 měsíce – to zlepší účinek a chrání dásně. Pro citlivé zuby se vyplatí volit jemné štětiny a krém bez agresivních složek, např. Corega fixační krém.

Na našem webu najdete další konkrétní tipy: od bělení hnědých zubů po správnou péči o keramické fazety. Prohlédněte si články a dejte svému úsměvu šanci zazářit!

Jak fixní rovnátka ovlivňují vaše cestování: praktické rady pro cestovatele s ortodontií

Fixní rovnátka nezakazují cestování. Víte, jak se připravit na letadlo, jídlo a nečekané problémy? Tady jsou praktické rady pro cestovatele s ortodontií, které vám pomohou zůstat klidní a bezpeční.

Číst více

Způsoby, jak keramické fazety mohou zlepšit váš úsměv

Keramické fazety jsou tenké krytky z keramiky, které přesně zakrývají neestetické zuby. Zlepšují barvu, tvar a lesk úsměvu bez nutnosti ortodontie. Trvají až 20 let a vypadají přirozeně.

Číst více

Jak opravit kousek ulomeného zubu: co dělat hned a co si nechat udělat u zubního lékaře

Ulomený zub není hned katastrofa, ale musíš na to reagovat rychle. Zjisti, kdy stačí plomba, kdy potřebuješ korunku a co dělat hned po úrazu. Více než 60 % případů lze vyřešit jednoduchou opravou, pokud jdeš k lékaři do 24 hodin.

Číst více

Mezizubní kartáčky: Jak správně používat neocenitelný pomocník pro péči o ústní dutinu

Mezizubní kartáčky jsou klíčový nástroj pro prevenci zánětů dásní a ztráty zubů. Umožňují čistit mezery, kam se běžný kartáček nedostane. Doporučují se všem, zejména s ortodontií, mosty nebo staršími zuby.

Číst více

Jak vzniká předkus? Vše, co potřebujete vědět o přípravě zubů na fazety

Předkus je klíčový krok před instalací fazet na zuby. Zjistěte, jak probíhá, proč je nutný a co se stane, když ho přeskočíte. Vše o přípravě zubů na fazety v jednoduchých krocích.

Číst více

Jak vybělit zuby černým uhlím? Skutečné účinky a rizika domácí metody

Černé uhlí nevyběluje zuby - brouší je. Tato metoda může trvale poškodit sklovinu, což vede k žlutějším zubům a citlivosti. Zjistěte, proč odborníci varují před touto populární domácí metodou a co skutečně funguje.

Číst více

Kdy kousat na bílou plombu? Vše, co potřebujete vědět o celokeramických fazetách

Bílá plomba je rychlé řešení, ale celokeramické fazety jsou trvalá investice do estetiky a funkce zubů. Zjistěte, kdy je vhodné volit jedno a kdy druhé, abyste se vyhnuli častým výměnám a nákladům.

Číst více

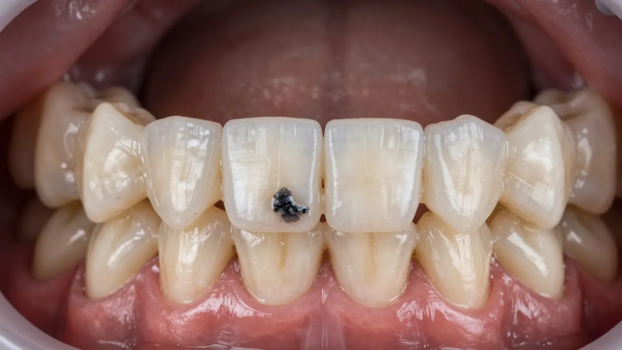
Co jsou černé skvrny na zubech a co s nimi dělat?

Černé skvrny na zubech jsou často zubní kámen, který vzniká z plaku a zbarvení. Není to kariés, ale závažný problém, který může vést k zánětu dásní a ztrátě zubu. Zjistěte, co ho způsobuje a jak ho efektivně odstranit.

Číst více

Nasazovací zuby: Co o nich říkají odborníci

Nasazovací zuby už nejsou jen starým řešením. Moderní protézy jsou pohodlné, levné a spolehlivé. Odborníci vysvětlují, kdo je opravdu potřebuje, jak fungují a proč jsou lepší než kdy jindy.

Číst více

Jak nalepovací zuby pomohou zlepšit vaše sebevědomí

Nalepovací zuby jsou rychlým a bezbolestným způsobem, jak zlepšit úsměv a zvýšit sebevědomí. Více než jen estetický trik, mohou být prvním krokem k lepšímu životu.

Číst více