Odhad časového rizika tvorby kamenů

Zubní kámen není jen ošklivý - je to skryté ohrožení vašich zubů a dásní. Mnoho lidí si myslí, že kámen je jen otázka estetiky, ale ve skutečnosti je to první známka zánětu, který může vést k ztrátě zubů. Pokud jste si v zrcadle všimli tmavého nebo žlutého nánosu u zubů u dásní, nejedná se o zbytky jídla. Je to kámen. A začíná vždy stejně - s tenkou vrstvičkou plaku, kterou si většina lidí nevšimne.

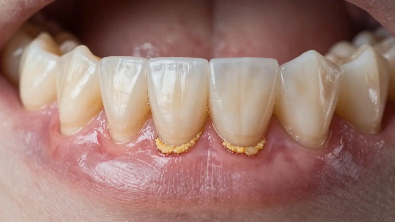
Co je začínající kámen vlastně?

Začínající kámen není náhodný nános. Je to zatvrdlý plak - ten tenký, lepkavý film, který se na zubech tvoří každý den. Když se plak neodstraní během 2-3 dnů, začínají v něm rostout bakterie a vápník ze slin se do něj ukládá. Výsledek? Tvrdý, neodstranitelný nános, který už neodstraní ani nejlepší kartáček.

Tento počáteční kámen je často jen tenká, půl milimetru tlustá vrstvička, která se tvoří především u spodních řezáků a u zubů, které se dotýkají slinných žláz. Vypadá jako lehce žlutý nebo šedivý pruh, který se nechce odstranit i po důkladném čištění. Většina lidí ho přehlíží - myslí si, že to je jen „špína“, kterou si zvykli.

Proč je to problém, když to vypadá jen tak?

Když se kámen začne tvořit, nezůstává jen na povrchu. Bakterie v něm produkují kyseliny, které poškozují sklovinu zubu. Zároveň dráždí dásně. První příznaky? Červené, krvácivé dásně při čištění, zápach z úst, který nezmizí ani po vypláchnutí. To není jen „zápach z jídla“ - je to zánět dásní, tzv. gingivitida.

Podle studií z České stomatologické společnosti z roku 2025 má přes 68 % dospělých v Česku alespoň mírný kámen. Z toho téměř 40 % má příznaky zánětu dásní, ale nechává to bez léčby. Proč? Protože to nebolí. A to je největší past. Kámen nebolí - dokud nezačne poškozovat kost kolem zubu. A pak je pozdě.

Když už kámen vidíte, co dělat?

Nikdy nezkoušejte ho odstranit doma. Žádný nástroj z kuchyně nebo z lékárny - ani kovový škrábač, ani zubní nit - není bezpečný. Můžete poškodit sklovinu, dásně nebo dokonce zubní kořen.

První a jediný správný krok: navštivte zubního hygienistu. Ten používá speciální ultrazvukové přístroje, které jemně a bezbolestně odstraní kámen, aniž by poškodily zub. Proces trvá 20-40 minut a není nutná anestezie. Po odstranění kamenů se zuby obvykle cítí „čistější“ - i když to může působit jako příjemný tlak, který je trochu nepříjemný.

Po odstranění kamenů se často doporučuje kompozitní restaurace - ale pouze pokud kámen způsobil poškození skloviny. Pokud jste měli jen plak a začínající kámen, ale žádné dutiny, pak stačí jen odstranění kamenů a návrat k dobré hygieně. Kompozitní plomba se používá jen tehdy, když se kámen dlouho držel a vytvořil malou dutinu na zubu.

Zubní hygienistka odstraňuje kámen ultrazvukovým přístrojem v klinice.

Co se stane, když kámen necháte být?

Když necháte kámen na místě, začne se šířit pod dásně. Tam se tvoří paradentitida - zánět, který ničí kost, která drží zuby na místě. To je nevratné. Kost se nevrátí. A když se kost ztratí, zub se začne hýbat. A pak - padne.

Podle dat z nemocnice v Brně z roku 2025 má 32 % pacientů, kteří se nechali odstranit kámen až po 3 letech, výrazné ztráty kosti kolem zubů. U 12 % z nich byla nutná extrakce zubu. A to všechno jen proto, že si nevšimli tenkého žlutého proužku u dásní.

Jak tomu předcházet?

Nejlepší lék je prevence. A není to nic složitého.

  • Čistěte zuby dvakrát denně - nejen ráno a večer, ale i správně. Používejte zubní kartáček s měkkými vlákny a čistěte podél dásní, ne jen po zubech.
  • Používejte mezizubní kartáčky nebo nit - kámen se tvoří nejčastěji mezi zuby, kde kartáček nedosáhne.
  • Vypláchněte si ústa po jídle - pokud nemůžete čistit zuby, alespoň vypijte vodu nebo vypláchněte ústa vodou. To snižuje kyselost a zpomaluje tvorbu plaku.
  • Navštěvujte hygienistu každých 6-12 měsíců - i když se vám zuby jeví v pořádku. Kámen se tvoří rychleji, než si myslíte.

Nezapomeňte: kámen se nevyskytuje jen u lidí, kteří nečistí zuby. Často se objevuje u lidí, kteří čistí, ale neumí. Správná technika je klíč. Většina lidí čistí zuby jako by škrábali sklo - místo toho by měli mírně pohybovat kartáčkem v kruhových pohybech, zaměřených na hranu dásně.

Krok za krokem: plak se mění v kámen a způsobuje ztrátu kosti kolem zubu.

Je kompozitní restaurace nutná po odstranění kamenů?

Není. Kompozitní restaurace se používá jen tehdy, když kámen způsobil dutinu. Pokud jste měli jen kámen a žádnou dutinu, stačí jen jeho odstranění. Kompozitní plomba je jako „výplň“ - napravuje poškozenou sklovinu. Pokud sklovinu nemáte poškozenou, není potřeba ji „napravovat“.

Někteří zubní lékaři navrhují kompozitní restauraci i bez dutiny - například pro estetiku nebo proto, že „to vypadá lépe“. To není nutné. Pokud vám lékař říká, že potřebujete plombu, a nevidíte žádnou dutinu, požádejte o rentgen. Sklovinu nevidíte na oči - ale rentgen ano.

Co se stane, když se kámen vrátí?

Když se kámen vrátí za pár měsíců, znamená to, že vaše hygiena není dostatečná. Neznamená to, že jste „špatný“ - znamená to, že potřebujete upravit svůj způsob čištění. Možná používáte špatný kartáček, možná nečistíte mezizubní prostory, možná čistíte příliš agresivně a poškozujete dásně.

Po odstranění kamenů se vám hygienista může ukázat, jak správně čistit. Většina klinik v Česku dnes nabízí bezplatné ukázky techniky čištění. Využijte je. To je důležitější než každá plomba.

Je kámen věkem?

Není. Kámen se tvoří i u 12letých dětí, pokud nečistí zuby správně. Je to otázka hygieny, ne věku. Lidé, kteří čistí zuby každý den a používají mezizubní nástroje, mají kámen i ve 60 letech - ale jen velmi mírný. Lidé, kteří čistí jen někdy, mají kámen i ve 25 letech - a už ztrácejí kost.

Neexistuje „přirozený“ kámen. Každý kámen je výsledkem chybného chování. A každý kámen lze zastavit - pokud začnete dnes.

Může začínající kámen zmizet sám?

Ne. Kámen je zatvrdlý plak, který už neodstraní kartáček ani voda. Když se tvoří, začíná se vápníkem z slin ukládat - a to je nevratný proces. Pokud ho neodstraní hygienista, zůstane tam navždy a bude se zvětšovat.

Je odstranění kamenů bolestivé?

Obvykle ne. Ultrazvukový přístroj vydává jemné vibrace, které odstraňují kámen bez doteku. Někteří lidé cítí jen lehký tlak nebo chlad. Pokud máte citlivé dásně, hygienista může použít mírný gel, který snižuje citlivost. Není to bolestivé - a ani nevyžaduje injekci.

Můžu si kámen odstranit doma s nástrojem z internetu?

Ne. Nástroje, které prodávají jako „domácí odstranění kamenů“, mohou poškodit sklovinu, dásně nebo zubní kořen. Můžete si způsobit krvácení, bolest, nebo dokonce ztrátu zubu. To, co vypadá jako „šetření peněz“, může stát tisíce korun v následné léčbě.

Kolik stojí odstranění kamenů v Česku?

Většina zubních klinik v Česku účtuje 500-1 200 Kč za odstranění kamenů a polýrování zubů. Pokud máte zdravotní pojištění, část nákladů může být hrazena. U některých zdravotních pojišťoven je odstranění kamenů zahrnuto v rámci preventivní péče - zkontrolujte svou smlouvu.

Kdy mám jít k hygienistovi, pokud jsem si všiml prvních známek?

Hned. Pokud vidíte žlutý nebo šedivý pruh u dásní, nečekejte na zápach nebo krvácení. Čím dříve kámen odstraníte, tím menší je riziko poškození kosti. Nejlepší je jít, jakmile si ho všimnete - i když vám to nebolí.